Cuida la salud de tus encías con nuestros tratamientos de periodoncia en Vélez-Málaga y Torre del Mar, diseñados para prevenir y tratar enfermedades periodontales, devolviéndote una sonrisa saludable y duradera.

Periodoncia en Vélez-Málaga y Torre del Mar

Antonio Martínez Clínica Dental
Dr. Antonio Martínez

Experto en Periodoncia

Pida cita con nosotros

¿Qué es la Periodoncia?

La periodoncia se enfoca en la prevención, diagnóstico y tratamiento de las enfermedades que afectan las encías y los tejidos de soporte de los dientes como hueso y ligamento periodontal.

La enfermedad periodontal progresa en diferentes etapas según su gravedad. La primera es la gingivitis, caracterizada por inflamación y enrojecimiento de las encías debido a la acumulación de placa, y es reversible con un tratamiento adecuado.

Si no se trata, avanza a la periodontitis inicial, donde comienza el daño al tejido de soporte, como el hueso y el ligamento periodontal. En la periodontitis moderada, el daño se intensifica, con bolsas periodontales más profundas y mayor pérdida ósea.

Finalmente, en la periodontitis avanzada, el daño es severo, las bolsas son muy profundas, y los dientes pueden perderse por falta de soporte. El tratamiento temprano es esencial para evitar estas complicaciones.

El especialista en periodoncia realiza limpiezas profundas (raspados y alisados radiculares) y otros tratamientos especializados para mantener tus encías sanas y prevenir la progresión de enfermedades periodontales.

Periodoncia Vélez-Málaga

Higiene Dental

La higiene dental es clave para mantener una boca sana y prevenir problemas como gingivitis, periodontitis y caries. En este tratamiento, el especialista elimina placa y sarro acumulado en zonas difíciles de alcanzar con el cepillado, utilizando técnicas avanzadas que aseguran una limpieza profunda y sin molestias.

Además de mejorar la salud de encías y dientes, la higiene dental combate el mal aliento y aporta una sensación de frescura inmediata. Recomendamos realizar este procedimiento entre seis meses y un año para mantener una sonrisa saludable y cuidada. 

Curetas Vélez-Málaga

Raspado y alisado radicular

El curetaje o raspado y alisado radicular es un tratamiento profundo para tratar gingivitis avanzada y periodontitis, eliminando placa y sarro acumulado bajo las encías, donde el cepillado no alcanza. El especialista limpia las raíces de los dientes, eliminando bacterias y toxinas para reducir la inflamación y prevenir el avance de la enfermedad periodontal.


Este procedimiento es ideal para quienes presentan problemas de encías y desean preservar su salud bucal a largo plazo.

Periodoncia Dental CLINICA DENTAL ANTONIO MARTINEZ

Injerto Óseo

En las zonas donde se ha producido una pérdida ósea localizada alrededor del diente, utilizamos injertos óseos con materiales biocompatibles diseñados para favorecer la regeneración natural del hueso. Este procedimiento permite restaurar la estructura y el soporte necesarios para una función adecuada.

Los injertos no solo refuerzan la base ósea, sino que también contribuyen a prevenir problemas futuros, como la movilidad dental o la progresión de la enfermedad periodontal, asegurando una mayor estabilidad para los dientes y mejorando la salud bucal en general.

Periodoncia Dental CLINICA DENTAL ANTONIO MARTINEZ

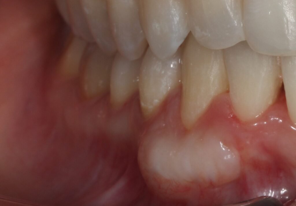
Injerto de Encía

En las zonas donde se ha producido una recesión gingival, realizamos injertos de encía utilizando tejido del propio paciente. Este procedimiento está diseñado para restaurar el tejido perdido, proteger las raíces dentales expuestas y mejorar la estética de la sonrisa.

Los injertos de encía no solo refuerzan la salud del tejido gingival, sino que también previenen problemas futuros, como la sensibilidad dental, el aumento del riesgo de caries radicular y la progresión de la recesión. Este tratamiento asegura una mayor estabilidad y salud para las encías, contribuyendo a una mejor funcionalidad y apariencia.

Casos Clínicos de Periodoncia en Vélez-Málaga

Preguntas Frecuentes sobre Periodoncia

La enfermedad periodontal es la causa más común. La acumulación de placa bacteriana puede mineralizarse y formar cálculo dental (sarro) que pueden inflamar las encías y destruir el hueso que sostiene los dientes.

La periodontitis es una enfermedad avanzada de las encías que afecta el tejido que sostiene los dientes. Si no se trata, puede provocar la pérdida de hueso lo que reduce el soporte estructural del diente.

Los signos más comunes incluyen encías enrojecidas, inflamadas, sangrado al cepillarte o al usar hilo dental, mal aliento persistente y, en casos avanzados, dientes con movilidad o encías retraídas.

La gingivitis es una inflamación leve de las encías causada por la acumulación de placa bacteriana. Es reversible con una buena higiene dental. La periodontitis es una forma más grave que afecta los tejidos y huesos que sostienen los dientes, y puede ser irreversible sin tratamiento profesional.

Los tratamientos incluyen desde limpiezas para el tratamiento de la gingivitis, y, en casos avanzados como la periodontitis, limpiezas profundas como el raspado y alisado radicular, también llamado curetaje, incluso cirugías periodontales para regenerar tejido perdido.

Por lo general, el procedimiento no es doloroso, se realiza con anestesia local para minimizar las molestias.

Si no se trata, la enfermedad puede evolucionar provocando pérdida de dientes, daño irreversible al hueso y tejido, y aumentar el riesgo de problemas de salud general, como enfermedades cardíacas y diabetes.

No dejes de cepillarte los dientes. El hecho de que te sangren las encías indica que están inflamadas y que, con la higiene en casa, no estás eliminando completamente la placa bacteriana que causa ese sangrado. Por lo tanto, es importante que recibas una higiene profesional para eliminar la placa acumulada y reducir la inflamación de las encías.

En nuestra clínica, somos líderes en periodoncia en Vélez-Málaga, ofreciendo un servicio completo que abarca desde la consulta inicial hasta realización del tratamiento.

Mantén una buena higiene dental cepillándote después de cada comida, puedes usar también hilo dental y cepillos interdentales para mejorar la calidad de tu higiene, y acudiendo a limpieza, además de acudir a higienes profesionales y revisiones regulares.

Se recomienda al menos una vez al año, aunque si tienes predisposición a enfermedades periodontales, es recomendable realizar una cada 4 o 6 meses.

Sí, hay estudios que relacionan las enfermedades de las encías con problemas cardiovasculares, diabetes y otras afecciones debido a la inflamación crónica y bacterias que pueden ingresar al torrente sanguíneo.

Sí, hay una predisposición genética en algunas personas, pero con buenos hábitos de cuidado oral, es posible prevenirlas y controlarlas.

Sí, los tratamientos básicos son seguros durante el embarazo. Es importante tratar problemas de encías, ya que están asociados con riesgos como parto prematuro o bajo peso al nacer.

Sí, en etapas avanzadas, la periodontitis puede provocar la pérdida de soporte óseo y tejido, lo que lleva a la caída de los dientes.

En casos leves, es posible prevenir que la retracción empeore con una buena higiene dental, un control adecuado que incluya limpiezas profesionales anuales y un seguimiento regular. En situaciones más avanzadas, existen procedimientos como los injertos de encía que pueden ayudar a restaurar el tejido perdido.

El sangrado puede ser un signo de inflamación causada por la acumulación de placa bacteriana. Es una señal de gingivitis o periodontitis en sus etapas iniciales. Es recomendable solicitar tu primera cita para una valoración en profundidad.

EXPERIENCIA

Ofrecemos tratamientos de periodoncia con tecnología avanzada, brindando soluciones seguras, funcionales y estéticas para recuperar tu sonrisa.

DOCTORES CUALIFICADOS

Contamos con un equipo de especialistas en periodoncia, comprometidos en ofrecer tratamientos seguros, precisos y de alta calidad para restaurar tu sonrisa.

ÚLTIMA TECNOLOGÍA DENTAL

Contamos con la última tecnología y con técnicas avanzadas que permiten mejorar los resultados y haces que los tratamientos sean más cortos.

HORARIOS

Clínica Dental Antonio Martínez abre de Lunes a Viernes de 9 a 13:00 y de 16:00 a 20:00.

Pida cita con nosotros

Periodoncia en Vélez-Málaga: Soluciones de calidad con las mejores marcas

En nuestra clínica dental, expertos en periodoncia en Vélez-Málaga, te ofrecemos soluciones duraderas y de calidad para restaurar tu sonrisa. Trabajamos con las mejores marcas, garantizando seguridad, eficacia y resultados naturales. Nuestro equipo te asesora con un plan personalizado adaptado a tus necesidades. ¡Visítanos para una valoración gratuita!